NOVEDADES
EDITORIAL
PRUEBAS
Tips y Trucos
Primera Vista
Reviews
Ciudadanía Digital
YOUTUBE
PROTAGONISTAS
Apple
Huawei
Samsung
Amazon
Meta
Google
NOSOTROS
Política de privacidad
Términos de servicio
What are You Looking for?
Search
2014
Amazon
AMD
Apple
Asus
BeMobile
Blockchain
CES 2014
CES 2015
CES 2016
CES 2017
CES 2019
CES 2020
CES 2021
CES 2023
CES 2024
CES 2025
CES 2026
Ciudadanía Digital
Computex 2024
Design
Disney
E3
E3 2017
EDITORIAL
ESPECIALES
Facebook
Google
Honor
HP
Huawei
IFA 2014
Illustrations
Infinix
Intel
Interior
Lenovo
LG
media-video
MediaTek
Meta
Meta
Microsoft
MMLC 2021
Motorola
MWC 2023
Navidad 2014
Nokia
Novedades
Nvidia
OpenAI
OpenAI
Oppo
PODCAST
Posters
Primera Vista
PROTAGONISTAS
Pruebas
Qualcomm
Realme
Reviews
Salesforce
Samsung
Sonos
Sony
TikTok
Tips y Trucos
Travel
Twitter
Uncategorized
vivo
World Mobile Congress 2014
World Mobile Congress 2015
WWDC21
WWDC24
Xiaomi
Zoom
Home
Usa usted una Red Neuronal Convolucional a diario? Sin Saberlo?
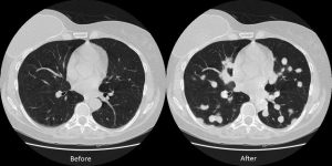
Detectar cancer
Detectar cancer
Detectar cancer
Deja un comentario
Cancelar respuesta